DÁN SỨ VENEER LÀ GÌ? CÓ TỐT KHÔNG?
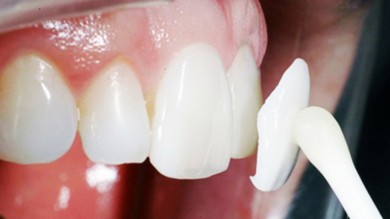
Công nghệ dán sứ Veneer hay còn gọi là mặt dán sứ Veneer, là một phương pháp sử dụng mặt dán làm bằng lớp sứ mỏng khoảng từ 0.2 mm – 0.5 mm. Mặt dán sứ này sẽ được dán cố định vào bên ngoài bề mặt răng cần được phục hình bằng keo dán răng sứ chuyên dụng sao cho ôm vừa khít toàn thân răng một cách tự nhiên nhất.
Đây được xem là bước đột phá mới trong các phương pháp thẩm mỹ răng dành cho những ai không muốn mài nhiều răng nhưng vẫn khắc phục tình trạng răng ố màu, xỉn vàng, mọc không đều, hở kẽ… của mình thành răng đều đẹp, trắng sáng.

6 ƯU ĐIỂM NỔI BẬT CỦA DÁN RĂNG SỨ VENEER
Tính thẩm mỹ cao
Màu sắc tự nhiên như răng thật và không đổi màu theo thời gian
Cho phép thiết kế nụ cười mới rạng rỡ theo ý bạn
Giúp khắc phục các nhược điểm hiện tại của răng tự nhiên
Tương hợp sinh học với mô nướu
Không gây biến chứng trong suốt quá trình sử dụng
Độ bền cao
Thời gian sử dụng từ 15 – 20 năm và có thể sử dụng vĩnh viễn nếu chăm sóc và vệ sinh đúng cách
Bảo tồn răng
KHÔNG mài răng hay chỉ mài cực mỏng ( 0.2 – 0.5 mm ). Nha khoa I-DENT luôn ưu tiên phương án bảo tồn răng thật của bạn tối đa có thể mà vẫn đem đến hiệu quả với nụ cười mới mà bạn mong muốn
Bảo vệ tủy răng, không đau
Men răng của bạn KHÔNG bị mài hay tỉ lệ mài rất ít, không gây ảnh hưởng đến cấu trúc răng, không lấn sâu vào mô răng nên tuyệt đối sẽ không xảy ra tình trạng ảnh hưởng đến tủy răng, gây chết tủy.

NHỮNG TRƯỜNG HỢP NÊN DÁN SỨ VENEER
- Răng mọc thưa, ở giữa các răng có khe hở nhỏ làm mất thẩm mỹ
- Răng bị mẻ, nứt hoặc răng bị bào mòn theo thời gian, chân răng ngắn
- Răng bị lệch lạc nhẹ, kích thước của các răng không đều nhau
- Răng hô, móm, vẩu ở mức độ nhẹ
- Răng bị xỉn màu, nhiễm kháng sinh tetracylin, ngả vàng, không thể tẩy trắng được
